치아교정 클리닉

비발치 덧니교정

비수술 악궁확장 치료 MARPE (Miniscrew-assisted rapid palatal expansion)

자연치 하나의 가치는 측정할 수 없습니다.
이지민 대표원장은 세브란스병원의 진료 철학에 따라 자연치아를 최대한 보존하는 치료계획을 수립합니다.
치아가 많이 삐뚤어서 발치가 필요한 상황에서도 이지민 대표원장은 비발치 치료를 진행할 수 있습니다.
덧니의 근본적인 원인은 치아 크기에 비해서 뼈의 크기가 작기 때문입니다.
청소년기가 지나간 성인에서는 뼈의 크기를 늘리기 어렵지만 이지민 대표원장은 가능합니다.

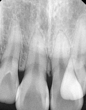
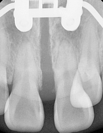
CASE 01
확장 전
확장 후
CASE 02
확장 전
확장 후
YONSEI DREAMING ORTHODONTIC CLINIC

수많은 연구와 고민 끝에 탄생한
이지민 대표원장만의
MARPE protocol

이지민 대표원장의 박사논문

Evaluation of miniscrew-assisted rapid palatal expansion success by comparing width of circummaxillary sutures before expansion in adult male patients” – Angle Orthodontics

이지민 대표원장 공동역자

MARPE: 치과교정의 한계를 넘어서

YONSEI DREAMING ORTHODONTIC CLINIC

최우수 논문상
논문 발췌 사진

이지민 원장은 성인 비발치 교정의 핵심인 비수술 악궁 확장 가능성을, 직접 연구한 논문 결과를 바탕으로 사전에 정밀 분석·예측합니다.

이 연구들은 현재 연세꿈꾸는치과의
교정 프로토콜에 적용되고 있습니다.

YONSEI DREAMING ORTHODONTIC CLINIC

세계적으로 권위 있는 치과교정학 학술지
‘The Angle Orthodontist’에서
한국인 최초
최우수 논문상 수상

이는 비발치·비수술 교정 분야에서의 학문적 기여를
국제적으로 인정받은 의미 있는 성과입니다.

YONSEI DREAMING ORTHODONTIC CLINIC

비발치 덧니교정
전후사진

Dreaming

“ 당신의 아름다운 미소가,
더 높은 꿈을 꿀 수 있도록. ”

저, 대표원장 이지민과 연세꿈꾸는치과가 응원하겠습니다.

YONSEI DREAMING ORTHODONTIC CLINIC

연세꿈꾸는치과
교정치료의 특별함

치과의사 누구나 교정 치료를 할 수 있습니다.
하지만 부작용을 최소화한 하이엔드 급의 교정치료는 아무나 할 수 없습니다.

연세대학교 치과대학(세브란스병원) 교정과 전문의 출신,
세브란스병원의 진료 철학과 프로토콜 그대로 실천하는 치과교정과 전문의이자 치과교정학 박사,
연세대학교 치과교정과 외래교수 이지민 대표원장의 정밀하고 섬세한 교정치료를 받아보세요.

  • 정밀 진단 시스템

    정확한 진단을 위해 대학병원 수준 이상의 정밀 검사 시행

  • 최첨단 장비

    대학병원 수준의 재료와 장비 기준을 그대로 적용

  • 실력있는 의료진

    세브란스 병원 교수 출신 대표원장 교정진료

빠른상담 신청

[자세히보기]

상담예약신청닫기
상담예약신청

[ 자세히 보기 ]

고객센터
02.470.2870
오시는 길

서울특별시 강동구 양재대로 1360 포레온스테이션5 2층 연세꿈꾸는치과교정과의원 강동둔촌점

오시는길 자세히 보기
진료 시간
  • 월수금 AM 10:00 - PM 07:00
  • 화목 AM 10:00 - PM 09:00
  • 점심시간 PM 01:00 - PM 02:30
  • 토(일반과) AM 09:30 - PM 02:30
  • 토(교정과) AM 09:30 - PM 05:00
  • 일(교정과) AM 09:30 - PM 01:30

* 화요일/목요일 야간진료

* 토요일은 점심시간 없이 진료

연세꿈꾸는치과교정과의원 강동둔촌점

  • 대표자 : 이지민
  • 사업자등록번호 : 845-35-01419
Copyright ⓒ©2025 연세꿈꾸는치과교정과의원. ALL RIGHTS RESERVED.